މަންކީޕޮކްސް ޕެންޑަމިކަކަށް ބަދަލެއްނުވާނެ، ފެތުރުން ކޮންޓްރޯލް ކުރެވޭނެ – މާހިރުން
މަންކީޕޮކްސްއަކީ ވަރަށް މަދުން ފެންނަ، ސްމޯލް ޕޮކްސްއާ ދާދި އެއްގޮތް އެއްޗެއް


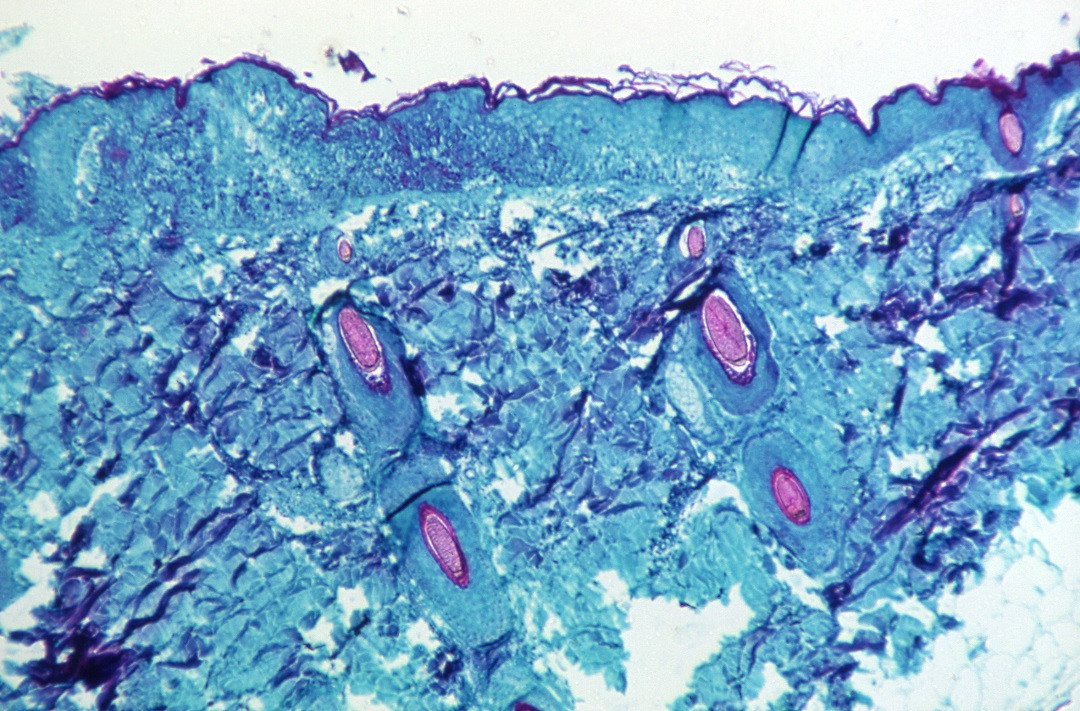
މަންކީޕޮކްސް ޖެހިފައިވާ މީހެއްގެ ޓިޝޫ ސާމްޕަލެއް
އެމެރިކާއިން ފެންނަމުންދާ މަންކީޕޮކްސްގެ ކޭސްތައް އިތުރުވެދާނެކަމަށް ވަނީ ބެލެވިފައެވެ. އެހެންނަމަވެސް ކޮވިޑް-19އެކޭ އެއްގޮތަށް ޕެންޑަމިކް ނުވަތަ އާލަމީ ވަބާއެއްގެ ގޮތުގައި ފެތުރިގެން ހިނގައިދާނެކަމުގެ އެއްވެސް ނިޝާނެއް އަދި ފެންނަން ނެތްކަމަށް ކަމާބެހޭ މާހިރުން ވަނީ ރޮއިޓަރސްއަށް މައުލޫމާތު ދީފައެވެ.
މިއަހަރު އެމެރިކާއިން ފެނުނު ފުރަތަމަ ކޭސް ފެނިފައިވަނީ ބުދަ ދުވަހުއެވެ. އެއީ މެސަޗޫސެޓްސްގެ ޑިޕާޓްމަންޓް އޮފް ޕަބްލިކް ހެލްތަށެވެ. ބަލި ޖެހުނު މީހާ ދާދީ ފަހުން ދަތުރުކޮށްފައިވަނީ ކެނެޑާއަށެވެ. ކޮވިޑް-19ގެ ބަލިމަޑުކަމުގެ ނަޒަރަކުން، އެހެން ހުރިހާ ބަލިތައް ފެތުރޭނެކަމަށް ދުށުމަކީ ނުރައްކާތެރިކަމެއް ކަމަށް ޖޯންސް ހޮޕްކިންސް ސެންޓަރ ފޮރ ހެލްތު ސެކިއުރިޓީގައި މަސައްކަތް ކުރައްވާ ސީނިއަރ ސްކޯލަރ އަދި އިންފެކްޝަސް ޑިސީސް އެންޑް އެމަރޖެންސީ މެޑިސިންގެ ތަޖުރިބާކާރެއް ކަމަށްވާ ޑރ. އަމޭޝް އަޑަލްޖާ ވަނީ ވިދާޅުވެފައެވެ.
މަންކީޕޮކްސް ވައިރަސް ގިނައިން ފެނިފައިވަނީ ދެކުނު އަދި އެފްރިކާގެ މެދުތެރޭގައެވެ. މަންކީޕޮކްސްއަކީ ވަރަށް މަދުން ފެންނަ، ސްމޯލް ޕޮކްސްއާ ދާދި އެއްގޮތް އެއްޗެއް ނަމަވެސް މަންކީޕޮކްސްގެ އަސަރު ކުޑަކަމަށް ޑރ. އަމޭޝް ވަނީ ވިދާޅުވެފައެވެ. އެންމެ ފުރަތަމަ މަންކީޕޮކްސް ވައިރަސް ރެކޯޑް ކޮށްފައިވަނީ ޑިމޮކްރަޓިކް ރިޕަބްލިކް އޮފް ކޯންގޯއިންނެވެ. އެއީ 1970ގެ އަހަރުތަކުގައެވެ. ނަމަވެސް ފާއިތުވި 10 ވަރަކަށް އަހަރުގެ ތެރޭގައި މި ވައިރަސް ފެތުރޭ މިންވަރު ވަނީ އިތުރުވެގެން ގޮސްފައެވެ.
މަންކީޕޮކްސް ވައިރަހުގެ އަލާމާތްތަކުގެ ތެރޭގައި; ހުން އައުން، ބޮލުގައި ރިއްސުން، ހަންގަޑުގައި ފިތް ނެގުން ހިމެނެއެވެ. މަންކީޕޮކްސްގައި ހަށިގަނޑުން ބިހިތަކެއް ނަގާއިރު، އެންމެ ފުރަތަމަ ނަގާނީ މޫނުގައެވެ. އަދި ހަށިގަނޑުގެ އެހެން ހިސާބުތަކަށް ފެތުރެއެވެ.
ޑރ. އަމޭޝް ވިދާޅުވީ މަންކީޕޮކްސް މިހާރު ފެތުރެމުންދަނީ އެކަކު އަނެކަކާ ބައްދަލުވެގެންކަމަށް ބުނުން ދަތިކަމަށެވެ. ނަމަވެސް ޖިންސީ ގުޅުމުގެ ސަބަބުން ބަލި ފެތުރިދާނެކަމަށާއި، ޖަނަވާރުންގެ ގައިން މި ބަލި އިންސާނުންނަށް ފެތުރެމުން ދާކަމަށް ނުބެލެވޭ ކަމަށެވެ. އޭނާ ވިދާޅުވި ކޮވިޑް-19އާ ޚިލާފަށް މަންކީޕޮކްސް ފެތުރޭ ގޮތް ތަފާތުވެފައި، އެކަކުގައިން އަނެކަކު ގަޔަށް ބަލި ފެތުރޭ މިންވަރު މަދުވާނެކަމަށެވެ.
އޭނާ ވިދާޅުވީ މަންކީޕޮކްސްގެ އާލަމީ ވަބާއަކަށް ބަދަލުވާނެކަމަށް ދެކެވަޑައިނުގަންނަވާކަމަށެވެ. ސަބަބަކީ މަންކީޕޮކްއަކީ އޭގެ ޒާތުގައި ފެތުރިގެންދިއުމުގެ ގާބިލްކަން ލިބިފައިވާ އެއްޗެއް ނޫންކަމަށެވެ. އަދި މިއީ އިންކިއުބޭޝަން ޕީރިއަޑްގައި އެކަކު ގައިން އަނެކަކުގެ ގަޔަށް އަރާ ބައްޔަކަށް ނުވެފައި، އަދި ފެތުރުން ކޮންޓްރޯލް ކުރުމަށްޓަކައި، ސްމޯލް ޕޮކްސްއަށް އުފައްދާފައިވާ ވެކްސިން ކާމިޔާބު ކަމާއެކު މަންކީޕޮކްސްއާއި ދެކޮޅަށް މަސައްކަތްކުރާތީ ކަމަށް ޑރ. އަމޭޝް ވިދާޅުވިއެވެ.
އެމެރިކާގެ ސެންޓަރ ފޮރ ޑިޒީސް ކޮންޓްރޯލް އެންޑް ޕްރިވެންޝަން (ސީޑީސ) އިން ބުދަ ދުވަހު ބުނެފައިވަނީ އެތަނުގެ ލެބުން ހެދި ޓެސްޓްތަކުން، މެސަޗޫސެޓްސްއިން ފެނުނީ މަންކީޕޮކްސް ކަމަށް ވަނީ ކަށަވަރުކޮށްދީފައެވެ. މެސަޗޫސެޓްސްގެ ސްޓޭޓް ޑިޕާޓްމަންޓުން ބުނެފައިވަނީ ސިޑީސީ އަދި ކަމާ ގުޅުން ހުރި އިދާރާތަކާ ގުޅިގެން ކޮންޓެކްޓް ޓްރޭސިންގެ މަސައްކަތް ކުރަމުން އަންނަ ކަމަށެވެ. ސްޓޭޓް ޑިޕާޓްމަންޓުން ބުނެފައިވަނީ އާންމު ސިއްހަތަށް ނުރައްކަލެއް ނެތްކަމަށާއި، މަންކީޕޮކްސްއަށް ޕޮޒިޓިވްވި މީހާ ހޮސްޕިޓަލުގައި އެޑްމިޓްކޮށްގެން ފަރުވާ ދެމުން އަންނައިރު އެމީހާގެ ހާލު ރަނގަޅުކަމަށެވެ.
ޑރ. އަމޭޝް ވިދާޅުވީ މަންކީޕޮކްސް ޕެންޑަމިކަކަށް ބަދަލުވާނެކަމުގެ އެއްވެސް ބިރުވެރިކަމެއް ނެތްކަމަށާއި، ކޮވިޑް-19އާއެކު ސިއްހީ ދާއިރާގެ ހިދުމަތްތެރިން ތިބީ ވައިރަސްގެ ސަބަބުން ފެތުރޭ ބަލިތަކާއި ދެކޮޅަށް މަސައްކަތްކުރުމަށް ފުރިހަމައަށް ތައްޔާރުވެފައި ކަމަށެވެ.
ސީޑީސީން ބުނެފައިވަނީ މި އަހަރުގެ ތެރޭގައި އެމެރިކާއިން މަންކީޕޮކްސްގެ ކޭސްތައް ފެނިފައި ނުވާކަމަށެވެ. ނަމަވެސް، ޓެކްސަސް އަދި މެރީލޭންޑުން މިދިޔަ އަހަރުގެ ތެރޭގައި މަންކީޕޮކްސްގެ ކޭސްތައް ވަނީ ރިޕޯޓްކޮށްފައެވެ. އަދި އެ މީހުންނަކީ ނައިޖީރިއާއަށް ދަތުރުކުރި މީހުން ކަމަށް ވަނީ ބުނެފައެވެ.






